Secret RF Microneedling
Video
Infomaterial
Technische Daten
Micro- Needle Fractional RF System
- RF Frequency: 2 MHz +/- 20%
- Intensity: 0 – 100 Level (10 Step)
- Max. Power: 20 W +/- 20%
- Needle Thickness: 0,3 mm
- Needle Figure: 25 electrode needles (5 x 5), 7,8 x 7,8 mm / pitch 1,95 mm (Standart); 16 electrode needles (4 x 4), 7,8 x 7,8 mm / pitch 2,6 mm (Optional)
- Repetion Area: 0,2 / 0,5 / 1 / 2 sec / Single
- Treatment Area: 1 x 1 cm
- Adjustable Depth: 0,5 – 3,5 mm (0,1 mm step)
- RF emission: 50 – 950 ms
- Electrical Power: 100 – 240 VAC / 50 – 60 Hz / 220 W
Mono polar RF
- Max. Power: 50 W +/- 20%
- RF Frequency: 2 MHz +/- 20%
- RF Electrode: Mono Polar
- Repetion Rate: CW
- RF Electrode Size: Diameter 15 mm
Fraktionierte Radiofrequenz RF Secret
Produktname: RF Secret
Anwendung: Microneedling
RF SECRET ist ein fraktioniertes Microneedling System (fraktionierte Radiofrequenz), das die Möglichkeiten und Grenzen des fraktionierten Lasers deutlich überschreitet. Es ist ein System für umfangreichen Hautstrukturverbesserung und Behandlung von Hyperhidrose (Radiofrequenz-Thermotherapie RFTT), basierend sowohl auf monopolarer als auch auf fraktionierter, bipolarer Radiofrequenz. Eine exakte Einstellung der Tiefe der Mikronadeln und das “kalte” Passieren der Epidermis ermöglichen die Energieabgabe direkt in der Zielschicht.
Die Nadeltiefe ist von 0,5 mm bis 3,5 mm variierbar, wodurch sich ein breites Behandlungsspektrum eröffnet. Die einstellbare Intensität der RF-Energie ermöglicht die Behandlung verschiedener Körperareale mit unterschiedlicher Energieleistung.
Die Möglichkeit, gezielt in der tiefen Dermis zu arbeiten, ohne die Epidermis zu schädigen, wird bei dem RF Secret durch die Verzögerungszeit der fraktionierten Radiofrequenz geregelt. Die Nadeln werden in einem Rhythmus von Millisekunden, gleich einem Stempelverfahren, in die Haut eingeführt und auch sofort wieder zurückgezogen. Erst nachdem die Nadeln in die gewünschte Hautschicht eingedrungen sind, erfolgt für wenige Millisekunden ein Radiofrequenzimpuls, um Wärmeschäden zu setzen. Während des Eindringens in die Haut bleiben die Nadeln stets kalt. Um eine tiefe und oberflächliche Wirkung zu erzielen, können die Nadeltiefen bei den jeweiligen Behandlungsdurchgängen individuell variiert werden.
In der folgenden Grafik werden die Vorteile der nicht isolierten Nadeleinheiten ( RF Secret) gegenüber der isolierten Technik dargestellt.Vergleich RF Secet mit Laser und nicht isolierten Nadeln.
Die Vorteile des RF Secret
- Breites Behandlungsspektrum
Die fraktionierte Radiofrequenz des RF Secret kann bei vielen interessanten Indikationen in der Praxis eingesetzt werden. Nicht zuletzt stellt die axilläre Hyperhidrose die neueste Behandlungsindikation dar. Weitere Indikationen sind Dehungsstreifen, erschlaffte Haut, Narben, Hals- und Dekolletéstraffung. - Individuelle und schnelle Behandlung.
Die Tiefe der Einführung der Nadeln ist von 0,5 mm bis 3,5 mm einstellbar in 0,1 mm Schritten. - Präzision der Behandlung.
Die einstellbare Intensität der RF-Energie von 0 bis 100 Level (Low zu High Power) und Impulsdauer von 50 bis 950 ms ermöglicht die Durchführung der Behandlung an verschiedenen Körperarealen mit unterschiedlicher Energieabgabe - Ganzheitliches Konzept der Gesichts- und Körperbehandlung
Die Konzentration der RF-Energie an der Spitze der Nadel ist eine NEUE TECHNOLOGIE. Das fraktionierte Microneedling erlaubt dem Therapeut eine präzise Bestimmung der Behandlungstiefe im Gegensatz zum Laser, der alle Hautschichten beeinträchtigt. Der optionale monopolare Modus rundet die Behandlung ab und sorgt für das Einschleusen von aktiven Wirksubstanzen in die gebildeten Hautkanäle und erzielt somit einen Sofort-Straffungseffekt. - Verschiedene Indikationen und hervorragende Wirkung.
Abgabe der Energie direkt in der Zielschicht mit vorherigem „kalten“ Passieren der Basalmembran ermöglicht , körpereigene Mechanismen zur Hauterneuerung zu aktivieren. Es kann angenommen werden, dass eine Kaskade von Wachstumsfaktoren ausgeschüttet wird sowie die Fibroblasten und Elastin sekretierten Zellen stimuliert werden. - Minimierung der Schmerzen und keine Ausfallzeiten (Downtime).
Nadeldurchmesser von 0,3 mm und millisekundenkurze RF-Energieabgabe beeinflussen die Schmerzlinderung beim Patienten positiv und ermöglichen nach der Behandlung eine sofortige Rückkehr in den Alltag. - Funktion Nadelreinigung & Inspektion.
Während oder nach der Behandlung können mit Hilfe dieser Funktion die Nadeln des NEEDLE INSERT HANDSTÜCKES direkt am Gerät trocken gereinigt und danach inspiziert werden. - Memory-Funktion.
Das RF-SECRET verfügt über Speicherfunktionen, die eine bequeme Behandlung ermöglichen. - Marketing Unterstützung durch separate Websiten für Hyperhidrose und andere Behandlungsfelder, inkl. Ärzesuche
Kombinationsmöglichkeiten des RF Secret
Indikationen
Gesichtsbehandlungen
- Faltenreduktion
- Nichtoperatives
- Facelifting
- Hautverjüngung
- Straffung der erschlafften Haut
- Porenverkleinerung
- Aknenarben & Windpockennarben
- Hyperhidrose, sog. Radiofrequenz-Thermotherapie RFTT
Gesichtsbehandlungen
Vor der Behandlung
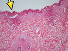
RF-Secret: Bereits nach 2 Wochen ist der Prozess der Neokollagenese ersichtlich.
Der Laserstahl wird von der Epidermis absorbiert. Es findet nur eine sehr oberflächliche Koagulation statt.
Kontakt
Deckert Medizintechnik GmbH
Kurfürstendamm 73
10709 Berlin
Tel. 030 86 31 30 71
Fax 030 86 31 30 72
Mail: info(at)dmt-med.de
